45岁的叶女士,自从因为半年前的一次感冒后,引发咳嗽,至今仍未痊愈,症状反复无常,时好时坏。不得已,在家属陪同下来医院进行就诊。
叶女士的“咳嗽”多表现为以咳痰为主,痰液中无带血,以及咯血等现象,讲话声音正常,无撕裂和沙哑感。且患者无发热、乏力、盗汗等其他身体症状,同时,患者也无其他病史。
根据叶女士描述,症状严重时,经常会自行在药店购买祛痰止咳类治疗药物,并且还经常搭配阿莫西林或头孢等抗菌消炎药,服用后咳嗽的症状,会暂时有所缓解。

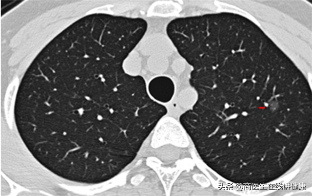
经过对患者叶女士询问后,我们首先推荐患者去做胸部CT。拿到CT结果后,发现患者果然在双肺多处均有结节状影像,存在多发性结节的情况。从CT上看,结节的大小和实性均不一。但从大小上看,都属于微小结节,且性质上也均属于毛玻璃状。
随后,建议患者办理住院手续,进行入院观察治疗。
患者叶女士入院以后,我们推荐患者又做了肿瘤方面的排查,且提取了患者的痰液,做了痰液相关感染病原学方面的筛查。从检查结果来看,患者的多项检查结果均无其他异常。
随后,又做了血常规,以及超敏C反应蛋白等检查。其中,只有超敏C反应蛋白略有升高,其他各项指标均在正常范围。
结合患者的各项检查结果,并参考叶女士的个人描述,经综合研究讨论后,初步判断为患者叶女士肺部所呈现的结节,主要因肺部某定植细菌感染所致,并初步制定了患者的治疗方案。

如何使肺结节变小,甚至消失?
患者治疗过程
在制定治疗方案时,首先考虑使用静脉输入头孢唑肟的方式,来作为患者作抗感染治疗药物,计划疗程为11天。疗程结束后建议再次复查肺部CT ,观察肺部结节的变化情况。
见患者同时还有咳痰的现象,同时搭配剂量为10ml的盐酸氨溴索口服溶液,每日3次。且另外还加增乙酰半胱氨酸雾化溶液和灭菌注射液分别以每次2ml的量,每日两次雾化吸入,达到帮助患者排痰的效果。
入院治疗五天后,再次复查血常规,以及超敏C反应蛋白,结果均未见异常。

连续入院治疗十天后,患者叶女士咳嗽及咳痰等症状已明显缓解,随后再次做了肺部CT复查,CT检查结果显示,多个肺部结节已经通过治疗后消失,仅有右肺下叶处一个结节仍在影像结果中有显示,但对比入院的CT结果来看,此结节的影像也有所变淡,但大小并无明显变化。
就治疗结果来看,除了此处这一结节暂时不能确定其性质,其他多处结节已证实,均为炎症所致,入院治疗的效果非常好。
而对于这处暂时无法确定其性质的结节,建议患者需要在出院后密切留意,三个月定期来医院做复查。如患者仍担心结节性质为恶心性结节,也可以考虑手术治疗的方式。但最终患者选择三个月后复查。
根据患者叶女士的诊断治疗过程来看,“肺结节”并没有我们多数患者想象的那么可怕,针对不同性质的结节,采取不同的治疗方法,多数肺结节是有可能被消散吸收的。

不同性质的结节的不同治疗方法
虽然因各种原因导致,现如今的肺结节发病率非常高,但是恶性结节发病的几率却很小,95%的肺结节基本都是良性结节,大约只有5%的肺结节最终会被确诊为恶性病变。
而对于在早期发现的直径较小的微小结节,一般病灶直径小于三厘米且并无明显症状的患者,无需采取特殊的治疗方式,只需要在平时注意密切观察,定期随访复查即可,大部分这类微小结节,在后期随访中就会发现,结节不断变小甚至可自行消失。
而也有部分患者的肺结节可能是因炎症所致,就如同这位患者叶女士,虽然已出现咳嗽咳痰等症状,且呈双肺多发结节,但是仍然可以通过采用抗炎的治疗方案,最终达到使多处结节消散的效果。
而对于结节瘢痕灶的时间较为久远,通过抗炎治疗仍然达不到治疗效果的患者。也或者是说结节性质难以判断,如同患者叶女士肺部右叶处通过抗炎治疗还没有消失的结节,为防止结节会随时间发生恶变,我们还可以通过外科手段进行干预,比如手术摘除。
但是无论是哪类肺结节患者,除了采用相应的治疗方式方法外,在日常生活中,还应当特别注意。

肺结节患者的注意事项
1.患者在日常生活中,要随时留意自己的身体信号,一旦发现异常,应及时来医院就诊;
2.谨遵医嘱,定期来医院进行复查,以防止错过病情的最佳治疗时间;
3.肺结节患者一定要戒烟,并且还要远离二手烟环境,防止加重病情;
4.居住环境,保持空气清新,多开窗通风;
5.尽量避免接触有害气体,如常见的甲醛,以及烹饪发食物时的油烟等;
6.另外,肺结节患者在饮食上也要格外注意,尽量少吃刺激性食物,多吃有养肺作用的新鲜果蔬;
7.保持良好的心态,正确认识“肺结节”,切勿过度焦虑紧张,积极治疗。

总结
因为肺结节在发病初期,一般并没有明显的症状。所以建议各位患者,尽可能保证一年一次或者半年一次的体检,尽早发现疾病,做好日常保养和随访复查工作,在对肺结节的预防和治疗上,有非常重要的意义。
而如果患者并没有及时发现,身体已经出现了较为明显的症状,比如不间断的咳嗽咳痰,简单的口服药物已不能治愈,就要尽快去医院检查就诊,确诊病情,对症下药。
另外,如患者确实已被确诊为肺结节患者,也建议大家不要太过惊慌失措,焦虑难安。积极治疗,才会增加结节消散的几率。我们从前文中叶女士的案例可以看出,即使是双肺多处患有多发性结节,也同样在入院治疗十一天后有明显改善,大家还应在肺结节的治疗上充满信心。
原创文章,作者:UYKCEG,如若转载,请注明出处:https://www.beidanyezhu.com/a/74462.html
微信扫一扫